

<25년경력의 연세대 보존과 출신>
연세대학교 치과대학졸업
연세대학교 치과대학병원 인턴,레지던트
연세대학교 치과대학병원 보존과 수련의
보존과 전문의 자격 취득
용인세브란스치과병원 보존과 과장 역임
강남세브란스치과병원 보존과 근무
대한근관치료학회 정회원
대한보존존학회 정회원
대한구강악안면임플란트학회 정회원
대한심미보철학회 정회원
국내외 학회지 주요논문 게재
– 신경치료, 재신경치료등 하루에 완벽한마무리
– 대표원장님 직접 보철물(크라운,인레이,라미네이트 등)제작
(크라운,인레이 당일완성가능)
– 양심진료
– 무통진료, 무통마취
– 친절하고 자세한설명
– 꼼꼼한치료
‘이 치아가 10년, 20년 후에도 잘 기능할 수 있을까?’
그 물음에 책임질 수 있는 진료만 해왔고, 앞으로도 그럴 것입니다.

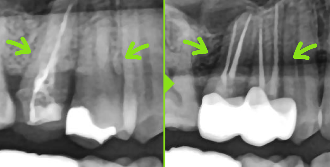
[※ 본 이미지는 연세화이트치과 환자분의 동의를 받아 촬영 및 게시된 사진입니다. 동일한 질환이라도 개인의 구강 상태와 치아 구조, 염증 정도 등에 따라 치료 방법 및 결과, 부작용에는 차이가 있을 수 있습니다. 본 내용은 의료법 제56조 제1항을 준수하여 작성된 의료 정보 제공 목적의 콘텐츠입니다.] 타 치과 신경치료 후 약 6개월이 지난 시점에서뿌리 끝 염증이 남아…
